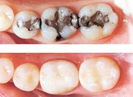
If you have an old silver filling, Dr. Michael Wilhite can replace it with a tooth-colored restoration to give you a healthier and more beautiful smile. Tooth-colored, or composite, dental fillings are designed to blend in with the color of your teeth to provide a more natural-looking result as well as a result that promotes better long-term oral health. Contact Davidson Cosmetic & Family Dentistry today at 704-987-2277 to learn more about replacing mercury dental fillings in Davidson, North Carolina, and schedule your appointment with our skilled dentist.
209 Delburg Street, Suite 103, Davidson, NC 28036